¿Qué puedes encontrar en el Diccionario de Alzhéimer?

El Diccionario de Alzhéimer es el puente que une a todos aquellos afectados y relacionados con el alzhéimer y las demencias con los términos, conceptos y expresiones que forman parte de este ámbito. Comprenderlos es entender mejor a qué nos enfrentamos. Un espacio vivo y en constante crecimiento, que evolucionará con nuevos términos y expresiones con vuestra ayuda, respondiendo a vuestras necesidades y demandas. Se trata de una herramienta que en ningún caso pretende sustituir las conversaciones con médicos especializados. Para familiares y cuidadores informales puede significar un nexo con un mundo del que desconocen los tecnicismos. Arrojar luz, acompañar en un camino difícil en el que el conocimiento ayuda a tomar mejores decisiones y a mejorar la calidad de vida de pacientes y familiares.
Este proyecto lo ha llevado a cabo un equipo de filólogos y lexicógrafos de varias universidades y centros de investigación que ha trabajado anteriormente en diferentes proyectos de investigación centrados en el dominio de la lexicografía especializada, particularmente la lexicografía médica. Dichos proyectos, al igual que este, han sido dirigidos por la profesora Bertha M. Gutiérrez Rodilla, de la Universidad de Salamanca (España), dedicada desde hace más de veinte años al estudio diacrónico y sincrónico del lenguaje científico y al lenguaje médico y reconocida por sus publicaciones en dicho ámbito.

histología

Inglés
histology
Etimología

Préstamo del alemán Histologie, término acuñado en 1819 por el anatomista alemán Carl Mayer (1787-1865). El concepto ya se conocía con anterioridad: en 1751 se documenta en francés tissu cellulaire con un significado similar al actual, y en 1801 el biólogo francés Marie François Xavier Bichat (1771-1802) realizó la primera clasificación de los tejidos con aplicación a la fisiología y la medicina. La acuñación del término parte del griego histós (ἱστός) 'telar', 'tejido'.

Explicación

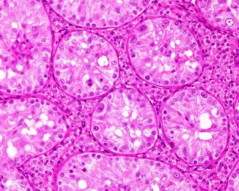
Con este nombre se designa todo lo que tiene que ver con el análisis e investigación relativa a los tejidos orgánicos. Estos, por su parte, son conjuntos de células que poseen características biológicas propias y similares, que se reúnen con el fin de cumplir una misma función. De acuerdo con esas características y esa función existen distintos tipos de tejidos (adiposo, cartilaginoso, conjuntivo, epitelial, glandular, muscular, óseo, etc.). En medicina, el campo de estudio de la histología suele restringirse a los tejidos humanos, por lo que en ella se emplearía como sinónimo de Histología humana

Histología celular

http://www.escuelapedia.com/histologia-celular/

Ejemplos

«Me parecía que en nuestra casa había muy pocos libros de poesía, y en el fondo también pocas novelas. Las estanterías estaban llenas, pero había gran abundancia de libros de mi padre, o sea libros de histología, biología y medicina. Estaba como en el exilio, en aquella casa tan falta de poesía y novelas [...]» (Ginzburg, 2009: 194-195).

«[...] Requería, por ejemplo, una riqueza de léxico y una vida en acecho de todas las entretelas de las cosas, cualidad que poseía el gran avizorador. Se requieren cualidades esenciales para asomarse a todos los sutiles recovecos y dobleces de una época del mundo, de la personalidad humana, de la fauna y de la flora, para llegar a ser ese microscopio de la Histología literaria, ese monstruo culto, imaginativo y gran urdidor de analogías [...]» (Obregón, 1971: 87).

Parte de la biología que estudia las estructuras microscópicas del ser vivo.